누적환자내원수 * 2023년 12월 기준

헤더변경

커뮤니티

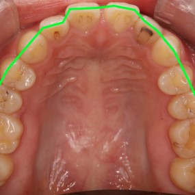
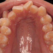
구미이튼치과 환자들의 치료후기입니다.

Total 23건 1 페이지

검색